本文
CT室
CT装置について
CTとはComputed Tomography(コンピュータ断層撮影)を略したもの。

人体を通り抜けたX線の透過データを一定のアルゴリズムで計算させ画像を再構成します。透過したX線を受ける検出器の多列化に伴い、0.5ミリメートルという細かなスライス厚で広範囲を一度に撮影でき、また、画像処理技術の発展によって、従来の「輪切り」だけでなくさまざまな断面の画像や三次元画像などの作成も容易となっています。
さらに、体格に合わせて管電流を調節する機能やノイズ低減機能などの被ばく低減機能も備わっており、低被ばくで高画質の画像を得ることが可能です。
また、短時間で広範囲をより細かく撮影できるので、頭部などの微細な血管や心臓の冠動脈などの絶えず動いている血管の描出にも優れています。
検査方法
検査時は、CT装置の寝台に仰向けに寝て検査を受けます。寝台が移動しながらガントリー(大きな円筒状の穴の中)に入っていき、エックス線を照射しながら撮影を行います。
服装
頭部検査では眼鏡やヘアピン,補聴器などは外し、頸部を撮影する際は入歯も外していただきます。胸腹部に関しては、なるべく軽装としブラジャーなどの金属部のある衣類は外し、ズボンやスカートに金属がある場合は少し下げさせていただきます(検査着に着替えていただくこともあります)。
検査前の注意点
以下に該当する方は、医師に申し出てください。
- 妊娠の有無(特に8週目までの胎児は放射線に対する感受性が高く注意が必要です)
- 除細動器付ペースメーカー(ICD)を埋め込まれている患者(胸部CT検査はできません)
検査種類
単純検査とヨード造影剤を静脈注射して撮影する造影検査があります。造影検査ではヨード造影剤を用いることによって血管の状態、臓器の血流状態や病変の特徴がわかり、画像診断上重要な情報が得られます。
検査前の絶食の有無
単純検査では、腹部撮影のみ検査前絶食(午前なら朝食、午後なら昼食)ですが、造影検査では、造影剤に対する副作用に備えて部位に関係なく検査前絶食となります。
ヨード造影剤について
基本的には安全な薬剤ですが、吐き気やおう吐,皮膚の異常(かゆみ,湿疹など),くしゃみ,頭痛などの軽い副作用や、まれに呼吸困難や血圧低下,意識消失などの重い副作用が起きることがあります。また、ごくまれですが死亡例も報告されています。
副作用が起こりやすい要因として、アレルギー歴(特に気管支喘息)、造影剤に対する副作用歴(過去にヨード造影剤による副作用が生じたことがある)、腎機能障害(GFR≦60ml/min/1.73平方メートル)などがあります。
以上の項目に該当する場合は検査を検討する必要があるため、医師に申し出てください。
また、ビグアナイド系糖尿病薬を服用されている場合は投与を一時的に中止する必要があるため、あらかじめ医師に申し出てください。
造影検査前日から当日にかけての注意点
検査前絶食(午前なら朝食、午後なら昼食)ですが、水やお茶などの水分は飲んでも構いません。ただし、腹部検査を受ける方は、牛乳などの乳製品は避けてください。
検査前日ならびに当日のお薬の服用は、特に指示のない場合は服用してください。
検査中の注意点
造影剤を腕の静脈(血管が見つかりにくい場合は足)から注入しながら撮影を行います。勢いよく注入するため、一時的に体がカッと熱くなることがありますが造影剤が正しく体内に入っている証拠ですので問題ありません。
ただし、注入時に腕に痛みが走ったり、吐き気や息苦しさ、気分不良などを感じた際には検査を中断する必要がありますので、すぐに知らせてください。
(検査直前まで技師が近くで確認し、検査中はモニターで状態を確認しています)

検査後の注意点
食事や入浴など通常通りの生活をしていただいて構いません。ただし、造影剤は尿から排泄されますので、水分は多めに摂るようにしてください。
また、時間をおいてから副作用がでることがありますので、帰宅後などに蕁麻疹や吐き気、のどの違和感などを感じた時は、遠慮せずすぐに病院へ連絡してください(検査後から2、3日ほど)。
CT検査の被ばくに関して
CT検査は、放射線を用いるため被ばくをします。被ばくという響きに不安に思われるかもしれませんが、検査に用いる放射線の量は少なく、発がん等の人体への影響は十分小さいものとされています。日常生活における飲酒や喫煙など健康を害するものによるリスク(危険度)と比べても、CT検査によるリスクは決して高いものではありません。
また、放射線を用いた検査は、それによって得られる利益が被ばくによる人体への影響よりも十分に大きいと考えられるときのみに行います。当然ながら、被ばくによる影響が少なくなるよう、必要な線量、目的に応じた撮影範囲などを十分に考慮して検査を行いますので、安心して検査を受けてください。
頭頸部
頭部撮影は息止めの必要はありませんが、体動によって画像がぶれないように頭部は固定させていただきます。頸部撮影は唾を飲み込んだり、口を動かすことを防ぐため、息止めをして撮影を行います(息止め時間は約5秒)。
検査時間は、単純検査で約5分、造影検査で約10分です。

頭部(単純)
外傷性疾患,脳血管障害,腫瘤性病変,炎症性疾患など



頭部(造影)
頭蓋内占拠性病変の有無の確認


副鼻腔
腫瘤性病変,炎症性疾患など


聴器
難聴の原因精査や耳小骨などの骨病変


眼窩
眼窩,眼球病変の把握や眼窩周囲の外傷



顔面
顔面部における外傷性疾患の精査



歯科インプラント用
インプラント手術に必要なデータの取得(撮影のみ)


頸部(単純)
甲状腺,頸部リンパ節や咽頭喉頭など頸部における疾患の精査


頸部(造影)
頸部疾患の病期評価や血管系・リンパ節との鑑別等


胸腹部
寝台に仰向けに寝ていただき、両手拳上で撮影します(肩が痛かったり、腕が上がらない場合は下げて検査をします)。
画像のブレを防ぐために、検査中は息を止めていただきます(胸部で約5秒、腹部で約10秒、胸腹部で約15秒)。
また、造影検査では、繰り返して何度か撮影する場合がありますので、常に同じような息止めをすることを心がけてください。
検査時間は、単純検査で約5分、造影検査で約10分から20分です。

胸部(単純)
喀痰,血痰等の原因精査、胸痛精査、食道,乳房違和感精査など





胸部(造影)
血管病変あるいは血管周囲病変の診断や病変の血流程度,血行動態の把握,肺塞栓の有無など



腹部(単純)
急性腹症の原因や腹部臓器原発の悪性腫瘍の検索





腹部(造影)
占拠性病変の有無や鑑別診断,腹部内臓器やリンパ節への進展度や転移の確認など






整形領域
脊椎(頸椎、胸椎、腰椎)や骨盤を撮影する際には仰向けに寝ていただき、四肢(足や手など)を撮影する際には、仰向けやうつ伏せ、寝台に座ったままなど撮影部位を固定しやすい体位になっていただきます。
脊椎を撮影する際のみ体動を抑えるため息を止めていただきます(約5秒)。ただし、他の部位でも動くと画像がぶれてしまいますので、しっかりと固定し動かないようにしていただきます。
検査時間は約5分です。


脊椎
骨折,骨棘,脊椎分離症の有無、椎間板石灰化の把握など



四肢
骨折,脱臼、関節内の石灰化の把握など






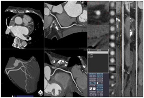
血管
検査方法は、造影検査に準じて行います。ただし、頭頚部動脈や両下肢動脈などの微細な血管を描出するためには、造影剤をより勢いよく注入する必要がありますので、体がカッと熱くなったりしますが、体動による画像のブレが大きく影響してきますので、驚かれても体を動かさないようにしてください。
検査時間は約20から30分です。
頭部CT-Angio
脳動脈瘤,脳動脈狭窄の検索など


脳perfusion(CTP)
急性期脳梗塞における虚血評価,脳出血術後の評価や脳循環予備能の評価など

頸部CT-Angio
頸動脈狭窄症の検索など



鎖骨下動脈CT-Angio
鎖骨下動脈の狭窄の検索など



胸腹部大動脈
動脈瘤や動脈乖離の精査





腎動脈CT-Angio
腎動脈の狭窄等の精査など



両下肢CT-Angio
閉塞性動脈硬化症(ASO)の精査など



深部静脈造影
下肢静脈血栓症や下肢静脈瘤の精査


心臓CT検査
常に動いている心臓を正確に撮影するために、心臓の動きを一時的に遅くさせる薬を使用することがあります。薬が効き始めるのに一時間近くかかりますので、検査時間の一時間前に来院し、中央処置室(当院内科の横)へお越しください。
検査中は、心電図を測定しますので軽装になっていただきます。
息止めが非常に大切な検査ですので、検査中何度も息止めの練習を行います(息止めは約10秒)
ただし、どうしても息止めがうまくいかない場合は検査を中止することがあります。
検査後30分ほど安静にしていただき、異常がなければ帰宅していただきます。





CTガイド下生検術
CTを用いて、肺や骨内の病変に対して生検(針を刺して、細胞の一部を取り出すこと)を行うことができます。


他装置との融合画像
ワークステーション(画像処理装置)上で、CTの画像を他装置(MRIやRI)の画像と融合させることができ、さらに多くの情報を提供することが可能です。



外来診療のご案内
活動・取り組み
地域医療連携
研修医募集
採用情報
